予防歯科(歯のクリーニング)
03-6416-8175
予防歯科(歯のクリーニング)

歯医者さんは、歯が痛くなったり虫歯の治療をしたりするときだけに行くもの、と思っていませんか?もちろん、お口のトラブルに気づいたらできるだけ早く歯科を受診することが大切です。
しかし、歯医者さんは虫歯や歯周病にならないようにお口を守るための場所でもあります。
歯を失ってしまう主な原因は、虫歯や歯周病といったお口の病気です。言いかえると、これらをきちんと予防できれば、一生自分の歯でおいしく食べられる可能性がぐっと高くなります。
当院では、「悪くなってから治す」のではなく、「悪くならないように守る」ことをとても大切にしています。専用の機器と技術を使ったプロによるクリーニング(PMTC)や、唾液検査で虫歯・歯周病のなりやすさを調べることで、お一人おひとりに合った予防ケアのご提案が可能です。
全身の健康維持とともに予防歯科を実践して、将来も笑っておいしく食事ができるお口の環境づくりを一緒に目指していきましょう。
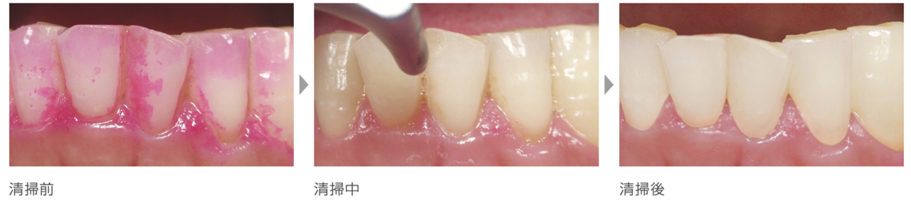
プロフェッショナルケアでは歯垢や歯石の除去をはじめ、口腔内診査、歯みがき指導などを行います。

PMTCとは、専門家が専用の機器を使用して歯を磨き上げる(Professional Mechanical Tooth Cleaning)という意味の略称です。毎日の歯みがきでは落ちない歯の汚れやバイオフィルムを、予防ケアのプロである歯科医師や歯科衛生士が、専門の器具と専用のペーストを用いて歯面とその周辺の歯周組織から徹底的に除去していきます。このクリニーニングによって、汚れの再付着の予防も期待できます。

フッ素塗布は「子どもの虫歯予防」というイメージを持たれがちですが、実は大人の虫歯予防にも有効な方法です。フッ素(フッ化物)には、初期の虫歯(ごく浅い段階の虫歯)の進行を抑えたり、歯のエナメル質を強くして酸に溶けにくくしたり、虫歯菌の活動を抑えたりする働きがあることが分かっています。歯科医院で定期的にフッ素を塗布すること(目安として3か月に1回程度)は、虫歯予防にとても効果的です。
一方で、「フッ素は体に悪いのでは?」と心配される方もいらっしゃいます。歯科医院で行うフッ素塗布は、濃度や使用量がきちんと管理された歯科医療用のフッ化物を、歯の表面にのみ局所的に使用する方法であり、国内外のガイドラインでも、虫歯予防に有効で安全性の高い方法として推奨されています。適切な濃度と頻度を守って行う歯科医院でのフッ素塗布は、全身への影響を過度に心配する必要はなく、科学的根拠に基づいた虫歯予防の基本的な手段のひとつです。

エアフローとは、微粒子のパウダーと水を広範囲に噴射して、バイオフィルムや着色汚れを効率よく落とすクリーニング方法です。パウダー状の細かい粒子を使用するため、歯の表面へのダメージが少なく、歯にやさしい処置です。
ブリッジの下や被せ物のきわ、インプラントの周りなど、歯ブラシだけでは届きにくい部分の汚れもすっきり除去することができます。
広い範囲に着色がある方、タバコやお茶・コーヒーなどによる色素沈着が気になる方、矯正治療中でブラケットが付いていて磨きにくい方にも大変おすすめです。
エアフローの後は、歯の表面がつるつると滑らかになり、歯垢やバイオフィルムが再び付きにくい状態になります。その結果、虫歯や歯周病のリスクを減らすことにもつながります。


当院で導入している、唾液検査「Sillha(シルハ)」は、専用の検査液でお口を軽くすすぐだけで、現在のお口の状態や将来のリスクを分かりやすく「見える化」できる検査です。すすいだ唾液を専用の機器で解析することで、むし歯菌が活動しやすい環境かどうか、歯ぐきや歯周組織に炎症が起こりやすい状態か、口臭の原因となる成分が多いかどうか、さらには唾液がどの程度お口を守る力を発揮できているか、といったことを総合的にチェックします。
検査結果はその場で数値やグラフとして表示されるため、ご自身のお口の「強み」と「弱点」が一目で分かります。なんとなく不安に感じていた部分が具体的なデータとして示されることで、どこを重点的にケアすべきか、どのような生活習慣を見直すべきか、といった対策が立てやすくなります。
日常のセルフケアの成果を客観的に確かめたい方や、将来の虫歯・歯周病リスクにしっかり備えたい方におすすめの検査です。

ハイドロキシアパタイトは、もともと歯や骨の主成分と同じ性質をもつ物質で、歯になじみやすいのが特徴です。ナノ粒子の薬用ハイドロキシアパタイト(HAP)を用いたトリートメントは、歯の表面の目に見えないレベルの細かな傷やざらつきにナノサイズのHAPが入り込みミクロのキズを埋めて滑らかにし、着色や歯垢を付きにくくします。また、溶け出したミネラルを補給して再石灰化をうながし、初期虫歯を予防します。
保険診療によるクリーニングは、「病気の治療」として位置づけられているため、歯石を取り除いたり、歯周ポケットの中をお掃除したりといった処置が中心で、行える内容や回数には保険診療上のルールがあります。回数がかかる場合もありますが、基本的なお口の汚れは保険のクリーニングでも十分に落とすことが可能です。
一方、自費のクリーニングは、虫歯や歯周病をできるだけ早い段階で防ぐこと、そして歯の表面のざらつきや着色を整えて、気持ちの良いお口の状態を保つことを目的としたケアになります。微粒子パウダーと水でバイオフィルムや着色を落とすエアフロー、歯の表面をなめらかに整えるHAPトリートメント、唾液検査によるリスク評価などを組み合わせ、時間をかけてお口全体をていねいに整えるスペシャルケアです。矯正治療中の方や、着色が気になる方、将来のリスクをしっかりコントロールしたい方、1回の来院で徹底的にお口の環境を改善したい方に適した内容です。
どちらが良い・悪いというものではなく、「今、治療が必要な状態なのか」「より予防に力を入れたいのか」といった目的の違いによって選択が変わってきます。当院では、歯ぐきや歯周組織に炎症がある場合にはまず保険診療でしっかり治療を行い、そのうえで「もっときれいに保ちたい」「将来のリスクを減らしたい」というご希望がある方には、自費のクリーニングメニューをご提案しています。お口の状態やご予算、ご希望に合わせて一緒に考えていきますので、気になることがあれば、どうぞ遠慮なくご相談ください。
当院では保険診療のクリーニングと、自費のクリーニングのコースメニューを2つ扱っております。
※表は横にスクロールできます
| 保険治療 | 自費クリーニング -スタンダードコース- |
自費クリーニング -プレミアムコース- |
|
|---|---|---|---|
| コース内容 |
|
|
|
| 時間(目安) | 45分 | 60分 | 90分 |
| 料金(税込) | 3,000円程度(3割負担) | 16,500円 | 22,000円 |
| 備考 | 場合によりレントゲン撮影を行います | エアフローは前歯部のみの処置です | リスクに合わせたオーラルケアグッズのプレゼントあり |
来院後、まず問診票の記入をしていただきます。
医師がご記入いただいた問診票を確認しながら、お口に関するお悩みや気になっていることについて伺います。
虫歯や歯周病の状態、また、将来虫歯や歯周病になりそうな部分をチェックして、ご説明します(必要に応じて口腔内写真、デジタルレントゲン検査を行います)。また、すぐに治療が必要な歯があった場合には応急処置を行います。
専用の器具で歯と歯茎の堺にある(ポケット)の深さを測定し、出血の有無や歯周病の進行具合を確認します。
歯科衛生士より現状の検査結果についての説明があります。
専門の器具や材料を用いて、歯垢や歯石の除去、コーヒーやお茶、タバコなどによる歯表面の着色除去、フッ素塗布などを行います。(この際の内容は保険診療と自費のクリーニングで異なります。)お口の状態と生活環境に合わせて、食事アドバイスや正しいホームケアについて指導します。
デジタル診察券をご登録いただいている方は、検査結果をもとにした歯や歯ぐきの状態を、ご自宅からスマートフォンで確認していただけます。定期的にチェックしていただくことで、歯周病の数値の変化が目に見えて分かり、日々のケアのモチベーションアップにもつながります。
| 項目 | 料金 |
|---|---|
| 保険治療 | 3,000円程度〜 |
| 自費クリーニング(スタンダードコース) | 16,500円 |
| 自費クリーニング(プレミアムコース) | 22,000円 |
TOP