ICON治療(ホワイトスポット治療)
03-6416-8175
ICON治療(ホワイトスポット治療)

前歯の表面にうっすら白く濁っている部分や、白い斑点があり目立っている、これらは「ホワイトスポット」と呼ばれ、歯のエナメル質の内部の構造が部分的に変化し、光の通り方が変わって周りより白く浮き上がって見えている状態です。
虫歯の初期段階であったり、固定式矯正装置の周りの磨き残し、子どもの頃のエナメル質の発育不全などが原因で起こることがあります。
そんなホワイトスポットのお悩みに対しておすすめなのが、ICON(アイコン)治療です。
ICON治療は、従来のように健康な歯を削ってレジンで詰めたり被せ物にするのではなく、歯を削らずにホワイトスポットの見た目の改善を行うことができる、低侵襲な新しい治療法です。
ICONは、ホワイトスポット部分に低粘度レジン(樹脂)を浸透させていくことで、エナメル質内部のすき間を満たし、周囲の歯質と光の屈折率を近づけます。その結果、白い斑点が周りの歯の色になじみ、「白っぽさ」や「まだら感」が目立ちにくくなることが期待できます。
すべての白い斑点がICONの適応になるわけではありませんが、例えば次のようなケースで検討されることが多いです。
一方で、以下のような場合は、別の治療方法を優先した方がよいことがあります。
ICON治療はすべての白い白濁が改善されるという治療ではありません。
その歯に生じている白濁の原因は何なのか、適切な診断を行うことが大変重要です。実際には、口腔内診査に加え様々な検査を行った上で、ICONが向いているかどうかを判断します。気になる部分がある方はぜひ一度ご相談ください。
当院で実際に行ったICON治療の症例をご紹介します。
ホワイトスポットの大きさや深さ、原因によって、改善の程度には個人差がありますが、ICON治療で見た目の印象を和らげることができるケースも多く存在します。

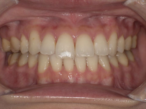
初診時には右上の前歯にホワイトスポットがあり目立っています。

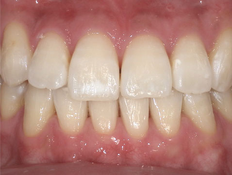
ICON治療の前にオフィスホワイトニングを1度行い、前歯全体の色調統一を行いました。全体の色調が1トーン明るくなったことで全体で見た時に少し目立ちにくくはなりましたが、まだ前歯の白濁が目立っています。

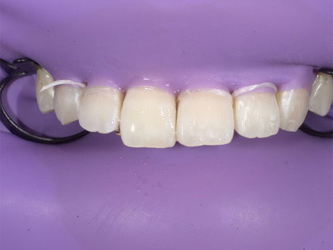
ラバーダム(ゴム製のマスク)をして対象歯とその周囲のみを露出した上で処置を行います。
ICONを行う前に、エナメルマイクロアブレージョン(EMA)という、エナメル質表層の研磨処置を行っています。


ICONでは複数の薬剤を用いてホワイトスポットの部分に低粘度レジンを少しずつエナメル質に浸潤させていきます。
様子を見ながら複数回工程を繰り返していきます。

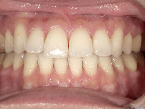
最終的にホワイトスポットはかなり目立たなくなりました。
Before

After

ICON治療最大のメリットは、何よりも「歯を削らない」という点です。従来のレジン充填やセラミック修復、ラミネートベニアと異なり、ご自身の歯を削ることなく見た目の改善を行うことができます。なんとなく気になっていた歯の白濁を、低侵襲で改善することが可能です。
ただし、
といった限界もあります。
| 項目 | 料金 |
|---|---|
| 1歯あたり | 33,000円(税込) |
TOP